logo

هیستولب

تماس با ما تهران - شمال غرب میدان هفتم تیر - خیابان غفاری - پلاک 40 021-88313255 info@histolab.ir
آنتی بادی CD68 برند NOVOCELL

ایجاد الگوی رنگ‌ آمیزی سیتوپلاسمی و غشایی واضح برای شناسایی اپی‌ توپ مقاوم به فرمالین در گرانول‌ های لیزوزومی، بسته‌ بندی استریل ویژه برای استفاده مستقیم و بدون نیاز به سمپلر

(0 نظرات)
برای اطلاع از قیمت با پشتیبانی تماس بگیرید

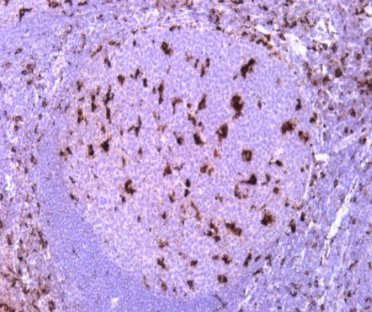
آنتی بادی CD68 برند NOVOCELL از نوع مونوکلونال با کلون KP-1 و ایزوتایپ IgG1/k است که بیشترین کاربرد را در ایمونوهیستوشیمی روی بافت‌ های پارافینی دارد و می تواند با ایجاد الگوی رنگ‌ آمیزی سیتوپلاسمی و غشایی واضح، به شناسایی اپی‌ توپ مقاوم به فرمالین در گرانول‌ های لیزوزومی، کمک  کند. این محصول با فرمولاسیون پایدار تا ۱۸ ماه در دمای ۲ تا ۸ درجه سانتی‌ گراد پایدار می‌ ماند. 

 

کاربردهای تشخیصی و تحقیقاتی

این آنتی‌ بادی به عنوان یک مارکر تخصصی برای شناسایی سلول‌ های مونوسیت/ماکروفاژ در پاتولوژی تشخیصی کاربرد گسترده‌ ای دارد. در تشخیص تومورهای میلوئیدی و هیستیوسیتی، رنگ‌ آمیزی CD68 کمک می‌ کند تا این نئوپلاسم‌ ها از سایر بدخیمی‌ ها افتراق داده شوند. همچنین در تمایز هیستیوسیتوم فیبری بدخیم از سایر سارکوم‌ های پلئومورفیک، این آنتی‌ بادی ارزش تشخیصی بالایی دارد. در آسیب‌ شناسی التهابی، از CD68 برای شناسایی وجداسازی ماکروفاژها در فرآیندهای التهابی مزمن و گرانولوماتوز استفاده می‌ شود. کنترل مثبت این آنتی‌ بادی در بافت لوزه تعریف شده که صحت نتایج رنگ‌ آمیزی را تضمین می‌ نماید.

 

خرید آنتی بادی CD68 برند NOVOCELL از هیستولب

هیستولب با بهره‌ گیری از استانداردهای دقیق کنترل کیفیت و ارائه خدمات تخصصی، به شرکتی قابل اعتماد برای تأمین آنتی‌ بادی‌ های باکیفیت تبدیل شده است. این مجموعه با دارا بودن مزایای منحصر به فرد، نیازهای آزمایشگاه‌ های تشخیصی را به طور کامل پوشش می‌ دهد.

چرا هیستولب؟

  • کلون‌های اختصاصی و استانداردهای بین‌المللی
  • سیستم توزیع پیشرفته با رعایت کامل زنجیره سرد
  •  پشتیبانی فنی تخصصی توسط متخصصان مجرب
  •   آموزش کاربران و ارائه پروتکل‌ های بهینه
  •  بسته‌ بندی استریل ویژه برای استفاده مستقیم و بدون نیاز به سمپلر
  •  کنترل کیفیت دوره‌ ای برای اطمینان از عملکرد مطلوب

برای خرید آنتی‌بادی CD68 نووسل با بالاترین استاندارد کیفیت و دریافت مشاوره یا آموزش تخصصی با کارشناسان ما تماس بگیرید.

 

Novocell CD68 antibody provides specific cytoplasmic staining for reliable identification of macrophage lineage cells.
This monoclonal antibody is essential for diagnosing histiocytic tumors and inflammatory conditions in IHC applications.

تعداد نظرات : 0

ثبت نظر

اطلاعات شخصی شما منتشر نمیشود*

چه امتیازی میدهید؟

لطفا برای ثبت نظر وارد سامانه شوید

ثبت نام/ ورود
محصولات مکمل