logo

هیستولب

تماس با ما تهران - شمال غرب میدان هفتم تیر - خیابان غفاری - پلاک 40 021-88313255 info@histolab.ir
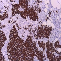
آنتی بادی CD34 برند NOVOCELL

1

(0 نظرات)
برای اطلاع از قیمت با پشتیبانی تماس بگیرید

آنتی بادی CD34 برند NOVOCELL یک آنتی‌ بادی تک‌ زنجیره‌ای مونوکلونال است که با اتصال اختصاصی به آنتی‌ ژن سطحی CD34، امکان شناسایی و جداسازی سلول‌ های بنیادی خونساز را فراهم می‌ کند. این آنتی‌ بادی برای تکنیک‌ های ایمونوفلوئورسانس و فلوسایتومتری بهینه‌ سازی شده و با ایجاد سیگنال فلورسنت قوی و اختصاصی، امکان تشخیص دقیق سلول‌های CD34+ را در نمونه‌ های خون محیطی و مغز استخوان میسر می‌ سازد. شرایط نگهداری این محصول در دمای ۲ تا ۸ درجه سانتی‌ گراد و دور از نور مستقیم خورشید تعریف شده و پس از باز شدن ویال، حداکثر تا یک ماه قابلیت استفاده دارد.

 

کاربردهای آنتی بادی CD34 برند NOVOCELL

این آنتی‌ بادی به‌طور گسترده در پژوهش‌ های هماتولوژی و پزشکی بازساختی برای جداسازی و شمارش سلول‌ های بنیادی خونساز مورد استفاده قرار می‌ گیرد. در طبقه‌ بندی و پایش بیماری‌ های خونی مانند لوسمی‌ های حاد، از CD34 به عنوان یک مارکر تشخیصی و پیش‌ آگهی استفاده می‌ شود. همچنین در پیوند سلول‌ های بنیادی، این آنتی‌ بادی برای ارزیابی کیفیت نتیجه پیوند به کار می‌رود. در مطالعات سرطان‌شناسی، میزان بیان CD34 به عنوان شاخصی برای پیش‌ بینی پاسخ به درمان و احتمال عود بیماری در برخی نئوپلاسم‌ های هماتولوژیک ارزشمند است.

 

مزایای خرید آنتی بادی CD34 برند NOVOCELL از هیستولب

هیستولب با ارائه پشتیبانی فنی تخصصی توسط متخصصان مجرب، همراهی قابل اعتمادی در تمام مراحل تحقیق و استفاده از آنتی‌بادی CD34 نووسل است. سیستم توزیع هوشمند این مجموعه، ارسال به موقع را در سراسر کشور تضمین نموده و با رعایت کامل زنجیره سرد، کیفیت و عملکرد آنتی‌بادی را حفظ می‌ نماید. محصولات هیستولب با بسته‌ بندی خاص و استریل ارائه می‌شوند که امکان استفاده مستقیم و بدون نیاز به سمپلر را فراهم ساخته و از آلودگی نمونه جلوگیری می‌ کند. گارانتی محصول و تست و بررسی‌ های دوره‌ ای منظم، عملکرد ایده‌ آل آنتی‌بادی‌های تولید شده با کلون‌های اختصاصی را تضمین می‌ کند. همچنین آموزش کاربران در صورت نیاز، بهره‌ وری و دقت آزمایشگاه‌ ها را افزایش می‌دهد.

 

Novocell CD34 antibody enables precise identification and quantification of hematopoietic stem cells in flow cytometry analysis.
This monoclonal antibody is essential for bone marrow transplantation monitoring and leukemia immunophenotyping studies.

 

تعداد نظرات : 0

ثبت نظر

اطلاعات شخصی شما منتشر نمیشود*

چه امتیازی میدهید؟

لطفا برای ثبت نظر وارد سامانه شوید

ثبت نام/ ورود
محصولات مکمل