logo

هیستولب

تماس با ما تهران - شمال غرب میدان هفتم تیر - خیابان غفاری - پلاک 40 021-88313255 info@histolab.ir
آنتی بادی CD30 برند NOVOCELL

ابزار تشخیصی کلیدی در پاتولوژی بالینی برای شناسایی لنفوم هوچکین کلاسیک و لنفوم سلول بزرگ آناپلاستیک (ALCL)، پایدارى ۱۸ ماهه در دمای ۲ تا ۸ درجه سانتی‌ گراد

(0 نظرات)
برای اطلاع از قیمت با پشتیبانی تماس بگیرید

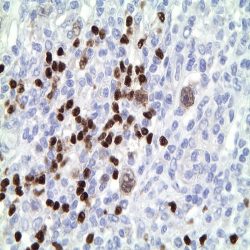
آنتی بادی CD30 برند NOVOCELL یک آنتی‌بادی مونوکلونال با کلون Ber-H2 و ایزوتایپ IgG1/K است که برای استفاده در ایمونوهیستوشیمی روی بافت‌ های پارافینی بهینه‌ سازی شده است. این آنتی‌ بادی با ایجاد رنگ‌ آمیزی غشایی واضح و مشخص، امکان شناسایی دقیق آنتی‌ ژن CD30 را فراهم می‌ کند. این محصول با پایدارى ۱۸ ماهه در دمای ۲ تا ۸ درجه سانتی‌ گراد و با بسته بندی خاص که نیازی به استفاده از سمپلر ندارد، بدون نیاز به فریز کردن برای آزمایشگاه ها ارسال می شود.

 

کاربردهای آنتی بادی CD30 برند NOVOCELL

این آنتی‌ بادی به‌ عنوان یک ابزار تشخیصی کلیدی در پاتولوژی بالینی برای شناسایی لنفوم هوچکین کلاسیک و لنفوم سلول بزرگ آناپلاستیک (ALCL) مورد استفاده قرار می‌ گیرد. رنگ‌ آمیزی غشایی CD30 در سلول‌های رید-استرنبرگ تشخیص قطعی لنفوم هوچکین را ممکن می‌ سازد. همچنین در افتراق سایر نئوپلاسم‌ های لنفوئیدی و پایش پاسخ به درمان‌ های هدفمند علیه CD30 نیز کاربرد دارد. آنتی‌بادی CD30 نووسل با کلون اختصاصی Ber-H2، شناسایی دقیق را در نمونه‌ های بافتی تضمین می‌کند. این ویژگی، امکان تشخیص قطعی لنفوم هوچکین و ALCL را با حداکثر دقت فراهم می‌آورد.

 

مزایای خرید آنتی بادی CD30 برند NOVOCELL از هیستولب

کلیه آنتی بادی های تامین شده توسط هیستولب به‌همراه دیتالاگرهای دمایی ارسال می‌ شوند که امکان پایش ۲۴ ساعته زنجیره سرد را فراهم می‌ کنند. این سیستم، سلامت محصول را از زمان بسته‌بندی تا تحویل نهایی تضمین می کند.

برنامه کنترل کیفیت هیستولب شامل بررسی‌های دوره‌ای کمی با استفاده از نمونه‌ های استاندارد شده است که عملکرد یکنواخت و قابل تکرار آنتی‌بادی را در هر محموله تایید می‌کند.

آنتی بادی CD30 نووسل در بسته‌بندی وکیوم شده چندلایه با نشانگرهای استریل که امکان استفاده مستقیم و بدون دستکاری ثانویه را فراهم می‌آورد و ریسک آلودگی را به صفر می‌رساند، برای آزمایشگاه ها ارسال می شود.

 

Novocell CD30 antibody provides distinct membranous and Golgi staining patterns for accurate diagnosis of classical Hodgkin lymphoma.
This monoclonal antibody is crucial for detecting CD30-positive malignancies including ALCL and select lymphoproliferative disorders.

 

 

تعداد نظرات : 0

ثبت نظر

اطلاعات شخصی شما منتشر نمیشود*

چه امتیازی میدهید؟

لطفا برای ثبت نظر وارد سامانه شوید

ثبت نام/ ورود
محصولات مکمل