logo

هیستولب

تماس با ما تهران - شمال غرب میدان هفتم تیر - خیابان غفاری - پلاک 40 021-88313255 info@histolab.ir
آنتی بادی CD10 برند NOVOCELL

قادر به تشخیص CD10 در سلول‌های مختلف از جمله سلول‌های پیش‌ساز لنفوبلاستی B و T، طراحی شده برای ایمونوهیستوشیمی (IHC) روی نمونه‌های پارافینی (FFPE)

(0 نظرات)
برای اطلاع از قیمت با پشتیبانی تماس بگیرید

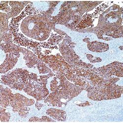
آنتی‌ بادی CD10 برند Novocell یک ابزار تشخیصی قدرتمند برای شناسایی دقیق آنتی‌ ژن CD10 (نپریلایسین) در بافت های نمونه است. این آنتی‌ بادی به‌طور خاص برای استفاده روی برش‌ هایی که با فرمالین فیکس‌ شده و در پارافین (FFPE) گذاشته شده تا با روش ایمونوهیستوشیمی (IHC) بررسی شود، بهینه شده است. CD10 یک گلیکوپروتئین وابسته به روی با وزن مولکولی ۹۰ تا ۱۱۰ کیلو دالتون است که به عنوان یک متالوپپتیداز، نقش مهمی در تجزیه و غیرفعال کردن طیف وسیعی از پپتیدهای بیولوژیکی فعال مانند انکفالین‌ها دارد. این آنتی‌ بادی با شناسایی قابل اعتماد این مارکر سلولی، به عنوان یک ابزار ضروری در طبقه‌بندی بدخیمی‌ های هماتولوژیک و غیرهماتولوژیک کاربرد دارد.

 

ویژگی‌ ها

  • طراحی شده برای ایمونوهیستوشیمی (IHC) روی نمونه‌ های پارافینی (FFPE) 
  • قادر به تشخیص CD10 در سلول‌ های مختلف از جمله سلول‌ های پیش‌ساز لنفوبلاستی B و T، و همچنین در بافت‌ های غیرهماتوپوئتیک مانند کلیه و کبد 
  • ایجاد الگوهای رنگ یابی غشایی و  سیتوپلاسمی قابل تفکیک، که به تشخیص دقیق کمک می‌کند.

 

کاربردهای آنتی بادی CD10 برند NOVOCELL

آنتی‌بادی CD10 نووسل نقش حیاتی در پاتولوژی تشخیصی دارد. این آنتی‌ بادی به‌طور گسترده برای طبقه‌ بندی لوسمی‌ ها و لنفوم‌ ها استفاده می‌ شود، از جمله:

  • تشخیص لوسمی/لنفوم لنفوبلاستی حاد (ALL)،
  •  لنفوم فولیکولار
  •  و لنفوم بورکیت .

در حوزه تومورهای جامد، CD10 یک مارکر مفید برای تشخیص کارسینوم سلول کلیوی، کارسینوم سلول کبدی (با الگوی کانالیکولار مشخص) و سارکوم استرومای آندومتر است.

 

خرید آنتی بادی CD10 برند NOVOCELL از هیستولب

هیستولب یکی از معتبرترین تامین کنندگان آنتی بادی های مورد استفاده در آزمایشگاه های تشخیصی است که با پشتیبانی فنی تخصصی و آموزش کاربران استفاده بهینه از این محصولات را تضمین می کند.

ما با ارسال سریع و به موقع سفارش‌ها با یک سیستم توزیع هوشمند و رعایت زنجیره سرد، یکپارچگی و کارایی محصولات حساس را حفظ کرده و با پایش مداوم آنتی بادی ها از طریق تست های دوره ای و منظم از کیفیت آنها اطمینان حاصل می کنیم.

برای خرید آنتی بادی CD10 برند NOVOCELL با عملکرد ایده‌آل و قابل اطمینان که از کلون‌های اختصاصی و پتنت‌شده تولید شده‌ با ما تماس بگیرید. تمامی آنتی بادی ها در بسته بندی خاص که امکان استفاده مستقیم و بدون سمپلر را فراهم می کند، به دست شما می رسد.

 

Novocell CD10 antibody is essential for diagnosing B-cell acute lymphoblastic leukemia and follicular lymphoma in IHC applications. This reliable marker also aids in identifying renal cell carcinoma and hepatocellular carcinoma in histopathological samples.

 

تعداد نظرات : 0

ثبت نظر

اطلاعات شخصی شما منتشر نمیشود*

چه امتیازی میدهید؟

لطفا برای ثبت نظر وارد سامانه شوید

ثبت نام/ ورود
محصولات مکمل