logo

هیستولب

تماس با ما تهران - شمال غرب میدان هفتم تیر - خیابان غفاری - پلاک 40 021-88313255 info@histolab.ir
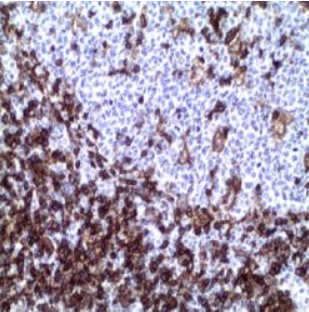
آنتی بادی CD4 برند NOVOCELL

قابلیت شناسایی CD4 در انواع سلول‌های ایمنی، عملکرد عالی در روش‌های فلوسایتومتری و ICC

(0 نظرات)
برای اطلاع از قیمت با پشتیبانی تماس بگیرید

آنتی بادی CD4 برند NOVOCELL با  فناوری‌ پیشرفته تولید آنتی‌ بادی‌ های مونوکلونال، قادر به شناسایی دقیق گلیکوپروتئین غشایی CD4 با وزن مولکولی 55 کیلودالتون است.

این آنتی‌ بادی با طراحی منحصر به فرد تشخیص اختصاصی CD4 را بر روی تیموسیت‌ ها، زیرمجموعه‌ای از لنفوسیت‌ های T بالغ، مونوسیت‌ ها و سلول‌های مرتبط با ماکروفاژ امکان پذیر کرده است.

فرمولاسیون پایدار و بهینه‌ شده، عملکرد قابل اطمینان آن را در روش‌ های فلوسایتومتری، ایمونوهیستوشیمی و ایمونوفلوئورسانس تضمین می کند و ویژگی بارز این آنتی‌بادی، توانایی آن در شناسایی دقیق دامنه خارج سلولی CD4 حاوی چهار حوزه همسانی ایمونوگلوبولین است که آن را به ابزاری ارزشمند در مطالعات ایمونولوژی تبدیل کرده است.

 

ویژگی‌ ها

  • آنتی‌بادی مونوکلونال با ویژگی‌های اختصاصی بالا
  • قابلیت شناسایی CD4 در انواع سلول‌های ایمنی
  • عملکرد عالی در روش‌های فلوسایتومتری و ICC
  • مناسب برای مطالعه گیرنده HIV (gp120)
  • اعتبارسنجی شده برای استفاده در نمونه‌ های انسانی
  • ارائه نتایج کمی و کیفی قابل اطمینان

 

کاربردهای آنتی بادی CD4 برند NOVOCELL

این آنتی‌ بادی به عنوان یک ابزار تشخیصی پیشرفته در ایمونولوژی بالینی برای شناسایی و شمارش سلول‌ های T کمکی (CD4+) در بیماران مبتلا به HIV/AIDS کاربرد دارد.

در تحقیقات ایمونولوژی، از این آنتی‌بادی برای مطالعه مکانیسم‌ های شناسایی آنتی‌ ژن توسط سلول‌های T و نقش CD4 در پاسخ ایمنی استفاده می شود.

همچنین در مطالعات مربوط به بیماری‌های خودایمنی، سرطان‌شناسی و پیوند اعضا، ارزیابی بیان CD4 اطلاعات ارزشمندی برای تعیین استراتژی درمانی و پایش پاسخ به درمان فراهم می کند.

 

هیستولب با ارائه خدمات مشاوره تخصصی پیشرفته وسیستم توزیع هوشمند، تحویل سریع و مطمئن آنتی بادی ها را به سراسر کشور تضمین می‌ کند. مجموعه ما با بهره‌ گیری از پایش مداوم، تضمین می کند که شرایط نگهداری، کیفیت و پایداری محصولات در تمام مراحل حمل و ذخیره‌ سازی حفظ شود. 


برای خرید آنتی‌بادی CD4 برند Novocell با گارانتی کیفیت و گواهی تضمین عملکرد (Performance Guarantee)، با هیستولب تماس بگیرید.

 

Novocell CD4 antibody enables precise identification of helper T-cells in HIV monitoring and immunodeficiency disorders. This monoclonal antibody is essential for immunophenotyping in clinical diagnostics and autoimmune disease research.

 

تعداد نظرات : 0

ثبت نظر

اطلاعات شخصی شما منتشر نمیشود*

چه امتیازی میدهید؟

لطفا برای ثبت نظر وارد سامانه شوید

ثبت نام/ ورود
محصولات مکمل