logo

هیستولب

تماس با ما تهران - شمال غرب میدان هفتم تیر - خیابان غفاری - پلاک 40 021-88313255 info@histolab.ir
آنتی بادی PMS2 برند NOVOCELL

آنتی‌بادی مونوکلونال با ویژگی‌های اختصاصی بالا، عملکرد عالی در نمونه‌های پارافینی (FFPE)، قابلیت شناسایی نقایص پروتئین PMS2 در سیستم MMR

(0 نظرات)
برای اطلاع از قیمت با پشتیبانی تماس بگیرید

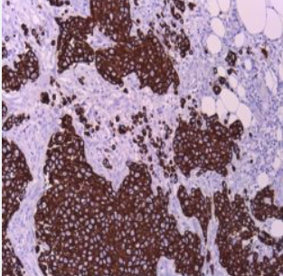
آنتی بادی PMS2 برند NOVOCELL با کلون‌های پتنت شده، قادر به شناسایی دقیق اپی‌ توپ‌ های خاص پروتئین PMS2 در سیستم ترمیم ناسازگاری DNA است. فرمولاسیون پایدار این محصول، عملکرد قابل اطمینانی در شرایط مختلف آزمایشگاهی دارد و پروتکل‌ های بهینه‌ شده آن نیز دستیابی به نتایج دقیق و تکرارپذیر را تضمین می کند.

 

ویژگی‌ها

  • آنتی‌بادی مونوکلونال با ویژگی‌های اختصاصی بالا
  • عملکرد عالی در نمونه‌های پارافینی (FFPE)
  • قابلیت شناسایی نقایص پروتئین PMS2 در سیستم MMR
  • مناسب برای تشخیص سندرم لینچ و سرطان‌های مرتبط
  • اعتبارسنجی شده برای استفاده در روش ایمونوهیستوشیمی
  • ارائه نتایج کمی و کیفی قابل اطمینان

 

کاربردهای آنتی بادی PMS2 برند NOVOCELL

این آنتی‌بادی به عنوان یک ابزار تشخیصی پیشرفته در پاتولوژی بالینی برای شناسایی بیماران مبتلا به سندرم لینچ و سرطان‌های ارثی مرتبط با نقص سیستم MMR مورد استفاده قرار می‌گیرد. در تشخیص سرطان‌های کولورکتال، آندومتر و تخمدان، ارزیابی بیان PMS2 اطلاعات حیاتی برای تعیین استراتژی درمانی و پیش‌آگهی بیماری فراهم می‌آورد. همچنین در تحقیقات سرطان‌شناسی، این آنتی‌بادی امکان مطالعه مکانیسم‌های ترمیم DNA و توسعه درمان‌های هدفمند را فراهم می‌سازد. کاربرد دیگر این آنتی‌بادی در غربالگری خانواده‌های در معرض خطر و تعیین نقشه ژنتیکی تومورها است.

 

خرید آنتی بادی PMS2 برند NOVOCELL از هیستولب

هیستولب با ارائه خدمات پشتیبانی تخصصی همه‌جانبه، همراهی قابل اعتماد برای متخصصان پاتولوژی است. سیستم توزیع هوشمند این مجموعه، ارسال سریع و مطمئن محصولات را در سراسر کشور تضمین می‌نماید. با بهره‌گیری از سیستم نظارت پیشرفته بر زنجیره سرد، کیفیت و عملکرد آنتی‌بادی در تمام مراحل حمل و نگهداری حفظ می‌گردد. فرمولاسیون انحصاری و بسته‌بندی وکیوم استریل این محصول، امکان استفاده مستقیم و بدون دستکاری را فراهم ساخته و از آلودگی نمونه جلوگیری می‌کند.

  •  پشتیبانی و تضمین کیفیت
  • ارائه گواهی اصالت و تحلیل عملکرد (COA)
  • برنامه نظارت مستمر کیفی
  • مشاوره تخصصی پیش از خرید
  • دوره‌های آموزشی اختصاصی
  • پشتیبانی فنی و آموزش پی از خرید

برای خرید آنتی‌بادی PMS2 با کیفیت تضمینی و برخورداری از خدمات اختصاصی هیستولب، با کارشناسان ما تماس بگیرید.

 

Novocell PMS2 antibody demonstrates exceptional specificity for DNA mismatch repair protein detection in IHC, ensuring reliable identification of Lynch syndrome cases. This monoclonal antibody is indispensable for molecular pathology and hereditary cancer screening with consistent nuclear staining patterns.

تعداد نظرات : 0

ثبت نظر

اطلاعات شخصی شما منتشر نمیشود*

چه امتیازی میدهید؟

لطفا برای ثبت نظر وارد سامانه شوید

ثبت نام/ ورود
محصولات مکمل