logo

هیستولب

تماس با ما تهران - شمال غرب میدان هفتم تیر - خیابان غفاری - پلاک 40 021-88313255 info@histolab.ir
آنتی بادی MSH6 برند NOVOCELL

قابلیت شناسایی جهش‌های ژنی MSH6، مناسب برای بررسی عملکرد کمپلکس MutSα، بسته‌ بندی خاص و استریل

(0 نظرات)
برای اطلاع از قیمت با پشتیبانی تماس بگیرید

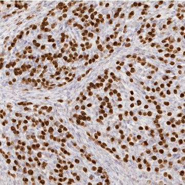
آنتی بادی MSH6 برند NOVOCELL با فناوری پیشرفته تولید آنتی‌ بادی‌ های تک‌ زنجیره‌ای (scFv)، قادر به شناسایی دقیق و بسیار اختصاصی پروتئین MSH6 در سیستم ترمیم ناسازگاری DNA (MMR) است. این آنتی‌ بادی با طراحی مولکولی منحصر به فرد، امکان تشخیص دقیق جهش‌ های ژنی MSH6 را در نمونه‌ های بافتی مختلف با حساسیت بالا فراهم می‌ سازد. فرمولاسیون پایدار و بهینه‌ شده این محصول، عملکرد قابل اطمینانی در روش‌های ایمونوهیستوشیمی و ایمونوفلوئورسانس دارد و می تواند اختلالات عملکردی در کمپلکس MutSα را شناسایی کند. ویژگی بارز این آنتی‌ بادی، توانایی آن در تمایز بین انواع مختلف جهش‌ های MSH6 و ارتباط آن با فنوتایپ‌ های بالینی مختلف است.

 

ویژگی‌ها

  • آنتی‌بادی تک‌زنجیره‌ای (scFv) با ویژگی‌های اختصاصی بالا
  • عملکرد عالی در روش‌های IHC و IF
  • قابلیت شناسایی جهش‌ های ژنی MSH6
  • مناسب برای بررسی عملکرد کمپلکس MutSα
  • اعتبارسنجی شده برای استفاده در نمونه‌ های پارافینی
  • توانایی تشخیص نقایص عملکردی در سیستم MMR

 

کاربردهای آنتی بادی MSH6 برند NOVOCELL

این آنتی‌بادی به عنوان یک ابزار تشخیصی پیشرفته در پاتولوژی بالینی برای شناسایی بیماران مبتلا به سندرم لینچ و سرطان‌ های ارثی مرتبط با نقص سیستم MMR مورد استفاده قرار می‌ گیرد. در تشخیص سرطان‌های کولورکتال، آندومتر و تخمدان، ارزیابی بیان MSH6 اطلاعات حیاتی برای تعیین استراتژی درمانی و پیش‌ آگهی بیماری فراهم می‌ آورد. همچنین در تحقیقات سرطان‌شناسی، این آنتی‌بادی مطالعه مکانیسم‌ های ترمیم DNA و توسعه درمان‌های هدفمند را ممکن می‌ سازد. کاربرد دیگر این آنتی‌ بادی در غربالگری خانواده‌ های در معرض خطر و تعیین نقشه ژنتیکی تومورها است.

 

برای خرید آنتی‌بادی MSH6 برند Novocell با گارانتی کیفیت و تضمین عملکرد، می توانید با هیستولب تماس بگیرید.

 

مزایای خرید از هیستولب

  • ارسال به موقع و رعایت زنجیره سرد
    کلیه آنتی بادی ها با رعایت پروتکل‌ های استاندارد حمل و نقل و با حفظ زنجیره سرد به سراسر کشور ارسال می‌ شوند تا از حفظ کیفیت محصولات اطمینان حاصل شود.
  • گارانتی محصول و تست‌های دوره‌ای
    کلیه محصولات هیستولب دارای گارانتی اصالت و کیفیت بوده و به طور منظم تحت تست‌ های کنترل کیفی قرار می‌ گیرند.
  • بسته‌ بندی خاص و استریل
    محصولات هیستولب با بسته‌ بندی استریل و خاص ارائه می‌شوند که امکان استفاده مستقیم و بدون نیاز به سمپلر را فراهم می‌ آورد.

 

Novocell MSH6 antibody provides precise nuclear staining for detecting DNA mismatch repair defects in Lynch syndrome diagnostics. This scFv antibody is ideal for IHC applications in colorectal and endometrial cancer profiling with high specificity.

 

 

تعداد نظرات : 0

ثبت نظر

اطلاعات شخصی شما منتشر نمیشود*

چه امتیازی میدهید؟

لطفا برای ثبت نظر وارد سامانه شوید

ثبت نام/ ورود
محصولات مکمل