logo

هیستولب

تماس با ما تهران - شمال غرب میدان هفتم تیر - خیابان غفاری - پلاک 40 021-88313255 info@histolab.ir
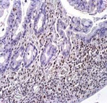
آنتی بادی MLH1 برند NOVOCELL

قابلیت شناسایی کمبود بیان MLH1 در سیستم MMR، مناسب برای تشخیص سندرم لینچ و سرطان‌ های مرتبط

(0 نظرات)
برای اطلاع از قیمت با پشتیبانی تماس بگیرید

آنتی بادی MLH1 برند NOVOCELL با فناوری‌ پیشرفته ای تولید شده که شناسایی دقیق و اختصاصی پروتئین MLH1 در سیستم ترمیم ناسازگاری DNA (MMR) را امکان پذیر می کند. این آنتی‌ بادی تشخیص اپی‌ توپ‌های خاص پروتئین MLH1 را در نمونه‌ های پارافینی، ساده تر کرده و به محققان کمک میکند عملکرد سیستم ترمیم DNA را با حساسیت و دقت بالایی ارزیابی کنند. طراحی منحصر به فرد این آنتی‌ بادی امکان شناسایی کمبود بیان MLH1 ناشی از جهش‌ های ژنی یا متیلاسیون پروموتر را فراهم ساخته و در تشخیص سندرم لینچ و تومورهای مرتبط با نقص سیستم MMR نقش حیاتی ایفا می‌ کند. فرمولاسیون پایدار این محصول، نتایج قابل تکرار و قابل اطمینانی در روش‌ های ایمونوهیستوشیمی ارائه می‌ دهد.

 

ویژگی‌ها

  • عملکرد عالی در نمونه‌های پارافینی (FFPE)
  • قابلیت شناسایی کمبود بیان MLH1 در سیستم MMR
  • مناسب برای تشخیص سندرم لینچ و سرطان‌ های مرتبط
  • ارائه نتایج قابل تکرار و قابل اطمینان
  • تست های دوره ای و منظم برای تضمین کیفیت و عملکرد

 

کاربردهای آنتی بادی MLH1 برند NOVOCELL

این آنتی‌بادی به عنوان یک ابزار تشخیصی قدرتمند در پاتولوژی بالینی برای شناسایی بیماران مبتلا به سندرم لینچ (HNPCC) و تومورهای مرتبط با نقص سیستم ترمیم ناسازگاری DNA مورد استفاده قرار می‌ گیرد. ارزیابی بیان MLH1 در تشخیص سرطان‌ های کولورکتال، آندومتر و تخمدان،  اطلاعات ارزشمندی را برای تعیین پروگنوز و راهنمایی درمان فراهم می‌ آورد. همچنین در تحقیقات سرطان‌شناسی، می توان مکانیسم‌ های ترمیم DNA و پاسخ به درمان‌ های شیمی‌ درمانی را با کمک آن بررسی کرد. 

هیستولب با کلون‌ های اختصاصی و انجام تست و بررسی‌ های دوره‌ ای منظم، عملکرد ایده‌ آل آنتی بادی ها را تضمین می کند. این مجموعه با رعایت زنجیره سرد حین حمل و نقل و ارسال به موقع، کیفیت آنتی‌بادی‌ ها را حفظ کرده و با ارائه بسته‌ بندی خاص و استریل بدون نیاز به استفاده از سمپلر، امکان کاربرد آسان و عاری از آلودگی را فراهم می‌ آورد.

برای خرید آنتی‌بادی MLH1 برند Novocell با گارانتی کیفیت و تضمین عملکرد با کارشناسان ما تماس بگیرید.

 

Novocell MLH1 antibody offers highly specific nuclear staining for reliable detection of DNA mismatch repair deficiency in IHC. This monoclonal antibody is crucial for Lynch syndrome screening and colorectal cancer diagnostics with consistent performance.

 

تعداد نظرات : 0

ثبت نظر

اطلاعات شخصی شما منتشر نمیشود*

چه امتیازی میدهید؟

لطفا برای ثبت نظر وارد سامانه شوید

ثبت نام/ ورود
محصولات مکمل