logo

هیستولب

تماس با ما تهران - شمال غرب میدان هفتم تیر - خیابان غفاری - پلاک 40 021-88313255 info@histolab.ir
آنتی بادی Vimentin برند NOVOCELL

آنتی بایی مونوکلونال (کلون SP20) با حساسیت و اختصاصیت بالا، پروتکل سریع و استاندارد با زمان انکوباسیون کوتاه (۱۰ دقیقه)

(0 نظرات)
برای اطلاع از قیمت با پشتیبانی تماس بگیرید

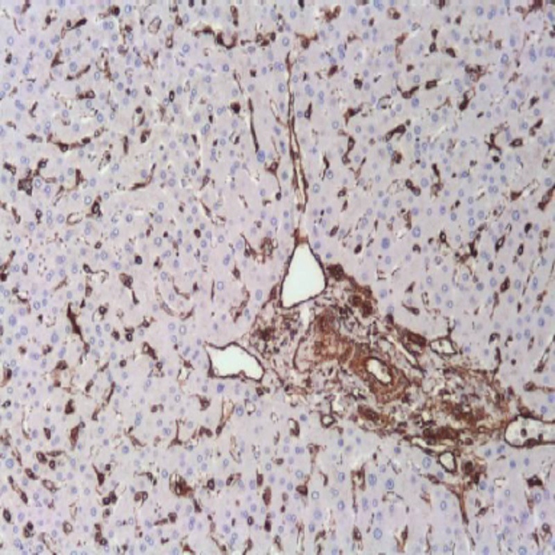
آنتی بادی ویمنتین (Vimentin) برند Novocell یک آنتی بادی مونوکلونال است که می توان از آن در ایمونوهیستوشیمی روی بافت‌های پارافینی استفاده کرد. این آنتی بادی پروتئین ویمنتین را که یکی از اصلی‌ترین پروتئین‌ های فیلامنت‌ های میانی در سلول‌ های مزانشیمی است، به طور اختصاصی شناسایی کرده و الگوی رنگ‌ آمیزی سیتوپلاسمی واضحی ایجاد می‌ کند. از این آنتی بادی به عنوان یک نشانگر کلیدی در پاتولوژی تشخیصی برای تایید منشا مزانشیمی ضایعات و کمک به تشخیص سارکوم‌ ها استفاده می‌ شود.

ویژگی‌های آنتی بادی Vimentin  برند NOVOCELL

۱. کلون و گونه مناسب برای تشخیص دقیق

  • آنتی بادی مونوکلونال با حساسیت و اختصاصیت بالا

  • عدم واکنش متقاطع با سایر انواع فیلامنت‌های میانی مانند کراتین

۲. بهینه‌سازی شده برای پاتولوژی روزمره

  • پروتکل سریع و استاندارد با زمان انکوباسیون کوتاه (۱۰ دقیقه)

  • امکان استفاده با سیستم‌های مختلف تشخیصی

  • کنترل‌های مثبت متنوع شامل کبد، سارکوم و ملانوما

۳. پایداری و قابلیت اطمینان بالا

  • عمر مفید ۱۸ ماهه در دمای ۲-۸ درجه سانتی‌گراد

  • عدم نیاز به فریز کردن و ثبات در شرایط نگهداری استاندارد

  • بسته بندی خاص و استریل بدون نیاز به سمپلر

 

کاربردها

این آنتی بایی به طور گسترده در پاتولوژی تشخیصی به عنوان یک نشانگر مزانشیمی کلیدی مورد استفاده قرار می‌گیرد. کاربرد اصلی آن در تمایز سارکوم‌ها (مثبت برای ویمنتین) از کارسینوم‌ها (معمولا منفی برای ویمنتین) و همچنین کمک به تشخیص تومورهای مزانشیمی خاص مانند لیومیوسارکوم، فیبروسارکوم و آنژیوسارکوم است. همچنین در شناسایی متاستازهای کارسینوم‌ها که دچار تغییرات اپی تلیال-مزانشیمی (EMT) شده‌اند و در مطالعات مربوط به فیبروز بافتی نیز کاربرد دارد.

 

مزایای خرید آنتی بادی Vimentin  برند NOVOCELL از هیستولب

  1. کیفیت تضمین‌شده

    • کلیه محصولات با گواهی اصالت (Certificate of Analysis)

    • تولید شده تحت استانداردهای بین‌المللی کنترل کیفیت

  2. پشتیبانی علمی جامع

    • ارائه پروتکل‌های تاییدشده و راهنمای کاربری تخصصی

    • مشاوره فنی رایگان توسط متخصصان مجرب

  3. تحویل به‌موقع و مطمئن

    • رعایت کامل پروتکل‌های زنجیره سرد برای مواد حساس

    • بسته‌بندی استاندارد و تضمین سلامت کالا تا مقصد

 

The Novocell Vimentin antibody (Clone SP20) serves as an essential mesenchymal marker in diagnostic pathology, particularly for confirming sarcomas and detecting epithelial-mesenchymal transition. 

 

تعداد نظرات : 0

ثبت نظر

اطلاعات شخصی شما منتشر نمیشود*

چه امتیازی میدهید؟

لطفا برای ثبت نظر وارد سامانه شوید

ثبت نام/ ورود
محصولات مکمل