logo

هیستولب

تماس با ما تهران - شمال غرب میدان هفتم تیر - خیابان غفاری - پلاک 40 021-88313255 info@histolab.ir
آنتی بادی Synaptophysin برند NOVOCELL

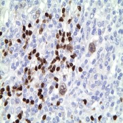
نتایج بسیار قابل اطمینان و تکرارپذیر، رنگ آمیزی با الگوی سیتوپلاسمی-غشایی (سیتوپلاسمیک)، فرمولاسیون پایدار در دمای ۲ تا ۸ درجه سانتی‌گراد

(0 نظرات)
برای اطلاع از قیمت با پشتیبانی تماس بگیرید

آنتی بادی Synaptophysin  برند NOVOCELL، یک آنتی بادی مونوکلونال است که به طور اختصاصی علیه پروتئین Synaptophysin انسانی تولید شده است. این پروتئین یک نشانگر غشایی کلیدی برای وزیکول‌های سیناپسی در نورون‌ها است. از این آنتی بادی به عنوان یک ابزار ضروری در علوم اعصاب و پاتولوژی تشخیصی برای برچسب‌زنی، شناسایی و مطالعه سلول‌های عصبی در بافت‌های طبیعی و نئوپلاستیک استفاده می‌شود.

 

ویژگی های آنتی بادی Synaptophysin  برند NOVOCELL

  1. هدف بیولوژیکی (Synaptophysin): سیناپتوفیزین یک گلیکوپروتئین یکپارچه غشایی است که به وفور در غشای وزیکول‌های سیناپسی نورون‌ها وجود دارد. این پروتئین نقش حیاتی در آزادسازی انتقال‌دهنده‌های عصبی و ارتباط بین سلول‌های عصبی (نورون‌ها) ایفا می‌کند و آن را به یک نشانگر سیتوپلاسمی عالی برای نورون‌ها و تومورهای با منشا عصبی تبدیل کرده است.

  2. الگوی رنگ آمیزی: رنگ آمیزی با این آنتی بادی یک الگوی سیتوپلاسمی-غشایی (سیتوپلاسمیک) ایجاد می‌کند. این الگو به طور مشخص ناحیه سیناپس‌ها و وزیکول‌های سیناپسی در سیتوپلاسم و اطراف غشای سلول‌های عصبی را برجسته می‌سازد.

  3. انعطاف‌پذیری در روش استفاده: این آنتی بادی را می‌توان هم به روش مستقیم و هم به روش غیرمستقیم ایمونوهیستوشیمی به کار برد.

  4. شرایط نگهداری: آنتی بادی Synaptophysin Master باید در دمای ۲ تا ۸ درجه سانتی‌گراد (یخچال) نگهداری شود. توجه به تاریخ انقضا و استفاده از آن در مدت ۲ ماه پس از باز کردن ویال برای حفظ کارایی و جلوگیری از تخریب آنتی بادی ضروری است.

 

کاربردها

کاربرد اصلی آنتی بادی سیناپتوفیزین، به عنوان یک نشانگر تشخیصی کلیدی در پاتولوژی تومورهای عصبی-درون‌ریز (Neuroendocrine Tumors) است. از آن به طور گسترده برای تأیید منشا تومورهایی مانند کارسینوم نورواندوکرین ریه، تومور کارسینوئید، نوروبلاستوما، فئوکروموسیتوما و مدولوبلاستوما استفاده می‌شود. در تحقیقات علوم اعصاب، از این آنتی بادی برای نقشه‌برداری از مدارهای عصبی، مطالعه سیناپتوژنز (تشکیل سیناپس) و بررسی تغییرات سیناپسی در بیماری‌های عصبی-تحولی و تخریب‌کننده عصبی مانند اوتیسم، آلزایمر و پارکینسون بهره می‌برند.


با خرید آنتی بادی Synaptophysin  برند NOVOCELL از هیستولب، از پشتیبانی فنی تخصصی، ارسال سریع و به موقع نمونه‌ها و رعایت دقیق زنجیره سرد برای حفظ کیفیت محصولات بهره‌مند می‌شوید. علاوه بر این، گارانتی اصالت و عملکرد محصول همراه با آموزش و راهنمایی کامل، آرامش خاطر و اطمینان از بهینه‌ترین نتایج را برای شما به همراه دارد.


Experience the HistoLab difference—where precision meets reliability. Your research potential starts here.

 

تعداد نظرات : 0

ثبت نظر

اطلاعات شخصی شما منتشر نمیشود*

چه امتیازی میدهید؟

لطفا برای ثبت نظر وارد سامانه شوید

ثبت نام/ ورود
محصولات مکمل