logo

هیستولب

تماس با ما تهران - شمال غرب میدان هفتم تیر - خیابان غفاری - پلاک 40 021-88313255 info@histolab.ir
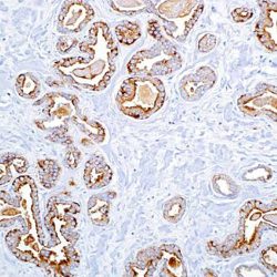
آنتی بادی SMA برند NOVOCELL

واکنش‌پذیری گسترده، کلون و ایزوتایپ مشخص، کنترل‌های بافتی تعریف‌شده، الگوی رنگ آمیزی سیتوپلاسمی

(0 نظرات)
برای اطلاع از قیمت با پشتیبانی تماس بگیرید

آنتی بادی SMA  برند NOVOCELL، یک آنتی بادی مونوکلونال است که برای شناسایی ایزوفرم آکتین عضله صاف (Smooth Muscle Actin) در مطالعات ایمونوهیستوشیمی طراحی شده است. این آنتی بادی به طور خاص پروتئین آکتین موجود در عضلات صاف، میوفیبروبلاست‌ها و سلول‌های میواپی‌تلیال را هدف قرار می‌دهد، اما با آکتین موجود در عضلات قلبی یا اسکلتی واکنش متقاطع نشان نمی‌دهد. از این آنتی بادی به‌طور گسترده در پاتولوژی و تحقیقات بیولوژیکی برای تمایز بین انواع مختلف بافت‌های عضلانی و تومورهای مرتبط استفاده می‌شود.

 

ویژگی های آنتی بادی SMA  برند NOVOCELL

  1. اختصاصی بودن: آنتی بادی SMA به طور اختصاصی ایزوفرم آکتین موجود در عضلات صاف را تشخیص می‌دهد. نکته کلیدی این است که بافت‌های عضله اسکلتی و قلبی را رنگ آمیزی نمی‌کند. این ویژگی کلیدی، پایه اصلی کاربرد تشخیصی آن در پاتولوژی است.

  2. کلون و ایزوتایپ مشخص: این آنتی بادی از کلون اختصاصی تولید شده که قابلیت تکرارپذیری نتایج را در آزمایش‌های مختلف تضمین می‌کند و به پژوهشگران اجازه می‌دهد پروتکل‌های تشخیصی ثابتی را دنبال کنند.

  3. کنترل‌های بافتی تعریف‌شده: بافت‌های کنترل مثبت پیشنهادی برای این آنتی بادی شامل آپاندیس، رحم و دیواره عروق است. وجود آکتین عضله صاف در این بافت‌ها به تأیید صحت عملکرد آنتی بادی در هر بار استفاده کمک می‌کند.

  4. الگوی رنگ آمیزی سیتوپلاسمی: این آنتی بادی به طور خاص پروتئین آکتین را در سیتوپلاسم سلول‌های هدف رنگ آمیزی می‌کند که الگویی واضح و قابل تفسیر زیر میکروسکوپ ایجاد می‌نماید.

 

کاربردها

کاربرد اصلی آنتی بادی SMA در پاتولوژی تشخیصی و تحقیقات سرطان‌شناسی است. مهمترین کاربرد آن، تمایز بین لیومیوسارکوم و رابدومیوسارکوم است. لیومیوسارکوم (تومور با منشأ عضله صاف) معمولا با هر دو آنتی بادی Muscle Specific Actin (MSA) و Smooth Muscle Actin (SMA) مثبت می‌شود. در مقابل، رابدومیوسارکوم (تومور با منشأ عضله اسکلتی) معمولا فقط با MSA در رابدومیوبلاست‌ها مثبت است و نتیجه SMA در آن منفی است. از دیگر کاربردهای آن می‌توان به شناسایی میوفیبروبلاست‌ها در فرآیندهای ترمیم بافتی و فیبروز، و همچنین تشخیص میواپی‌تلیال سل‌ها در تومورهای خاص مانند آدنوم غدد بزاقی اشاره کرد.

 

The Novocell SMA antibody (Clone 1A4) is a mouse monoclonal antibody specifically designed for the immunohistochemical detection of smooth muscle actin in a wide range of species, primarily used to distinguish leiomyosarcoma from rhabdomyosarcoma in diagnostic pathology.

تعداد نظرات : 0

ثبت نظر

اطلاعات شخصی شما منتشر نمیشود*

چه امتیازی میدهید؟

لطفا برای ثبت نظر وارد سامانه شوید

ثبت نام/ ورود
محصولات مکمل