logo

هیستولب

تماس با ما تهران - شمال غرب میدان هفتم تیر - خیابان غفاری - پلاک 40 021-88313255 info@histolab.ir
آنتی بادی S100 برند NOVOCELL

کلون اختصاصی برای شناسایی اپی‌توپ‌های پروتئین S100، فرمولاسیون پایدار در دمای 2-8 درجه سانتی‌گراد به مدت 18 ماه

(0 نظرات)
برای اطلاع از قیمت با پشتیبانی تماس بگیرید

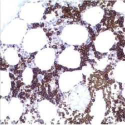
آنتی بادی S100  برند NOVOCELL برای شناسایی پروتئین S100 در نمونه‌های بافتی به کار می رود که با ایجاد رنگ‌ آمیزی سیتوپلاسمی و هسته‌ای واضح، تشخیص دقیق این مارکر را امکان پذیر می کند. پروتئین S100 به خانواده‌ ای از پروتئین‌ های متصل شونده به کلسیم تعلق دارد که در سلول‌ های گلیال، شوان، ملانوسیت‌ها و برخی از سلول‌ های اپیتلیال بیان می‌ شود. این آنتی‌ بادی با شناسایی اختصاصی اپی‌ توپ‌ های پروتئین S100، ابزاری ارزشمند در تشخیص تومورهای با منشا نورواکتودرمال است.

 

ویژگی‌های آنتی بادی S100  برند NOVOCELL

  • کلون اختصاصی برای شناسایی اپی‌ توپ‌ های پروتئین S100 بدون واکنش متقاطع با سایر پروتئین‌ها 

  • امکان اتصال بهینه به آنتی‌ژن و تولید سیگنال قوی در رنگ‌آمیزی ایمونوهیستوشیمی

  • ارسال آنتی بادی در بسته بندی خاص و آماده استفاده در پروتکل‌های استاندارد آزمایشگاهی بدون نیاز به سمپلر

  • پایداری در دمای 2-8 درجه سانتی‌گراد به مدت 18 ماه 

 

کاربردها

این آنتی‌بادی به طور گسترده در پاتولوژی تشخیصی برای شناسایی و تمایز تومورهای با منشا نورواکتودرمال مورد استفاده قرار می‌گیرد. در تشخیص ملانوم، S100 به عنوان یک مارکر حساس (اگرچه غیراختصاصی) ارزش بالایی دارد. در تومورهای سیستم عصبی محیطی، این آنتی‌بادی برای شناسایی شوانوم و نوروفیبروم کاربرد دارد. همچنین در تشخیص تومورهای غده بزاقی، کندروسارکوم، و برخی از کارسینوم‌ها نیز مورد استفاده قرار می‌گیرد. در پاتولوژی پوست، از S100 برای افتراق ملانوم از سایر تومورهای پوستی استفاده می‌شود.

 

مزایای خرید آنتی بادی S100  برند NOVOCELL از هیستولب

  • پشتیبانی فنی تخصصی توسط متخصصان پاتولوژی

  • ارسال سریع و مطمئن با رعایت کامل زنجیره سرد

  • گارانتی اصالت و کیفیت محصول

  • آموزش رایگان پروتکل‌های بهینه سازی شده

  • بسته‌بندی استریل و آماده استفاده

تشخیص دقیق تومورهای عصبی و ملانوسیتی را با خرید S100 نووسل تجربه کنید!

Novocell S100 antibody provides reliable cytoplasmic and nuclear staining for neural crest-derived tumors.
This monoclonal antibody is essential for diagnosing melanomas, schwannomas, and other neuroendocrine tumors.

تعداد نظرات : 0

ثبت نظر

اطلاعات شخصی شما منتشر نمیشود*

چه امتیازی میدهید؟

لطفا برای ثبت نظر وارد سامانه شوید

ثبت نام/ ورود
محصولات مکمل