logo

هیستولب

تماس با ما تهران - شمال غرب میدان هفتم تیر - خیابان غفاری - پلاک 40 021-88313255 info@histolab.ir
آنتی بادی P63 برند NOVOCELL

کلون اختصاصی برای شناسایی دقیق اپی‌توپ‌های پروتئین P63 انسانی، فرمولاسیون پایدار، قابل استفاده در دستگاه Leica با پروتکل استان

(0 نظرات)
برای اطلاع از قیمت با پشتیبانی تماس بگیرید

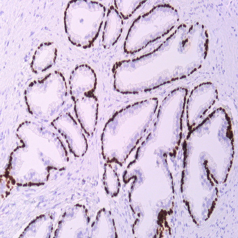
آنتی بادی P63  برند NOVOCELL یک آنتی‌ بادی مونوکلونال است که برای شناسایی پروتئین P63 در روش ایمونوهیستوشیمی روی بافت‌ های پارافینی طراحی شده و با ایجاد رنگ‌ آمیزی هسته‌ای واضح، امکان تشخیص دقیق این مارکر را فراهم می‌ کند. P63 به عنوان عضوی از خانواده پروتئین‌های P53، نقش اساسی در تکثیر و تمایز سلول‌ های اپیتلیال پایه ایفا می‌کند و به عنوان یک نشانگر اختصاصی برای سلول‌ های پایه اپیتلیال در تشخیص‌ های پاتولوژی مورد استفاده قرار می‌ گیرد.

 

ویژگی‌های آنتی بادی P63  برند NOVOCELL

  • کلون اختصاصی 997SBC: شناسایی دقیق اپی‌ توپ‌ های پروتئین P63 انسانی

  • عملکرد بهینه: رنگ‌آمیزی هسته‌ای واضح در رقت ۱:۵۰ تا ۱:۲۰۰

  • سازگاری با سیستم‌های اتوماتیک: قابل استفاده در دستگاه Leica با پروتکل استاندارد

 

کاربردها

این آنتی‌ بادی به طور گسترده در پاتولوژی تشخیصی برای شناسایی سلول‌ های پایه اپیتلیال مورد استفاده قرار می‌ گیرد. در تشخیص کارسینوم سلول سنگفرشی، P63 به عنوان یک مارکر اختصاصی عمل می‌کند. همچنین در افتراق آدنوکارسینوم پروستات (معمولا منفی) از کارسینوم سلول سنگفرشی (معمولا مثبت) و در تشخیص تومورهای غدد بزاقی ارزش تشخیصی بالایی دارد. در پاتولوژی پستان، از این آنتی‌ بادی برای شناسایی سلول‌ های میواپیتلیال و افتراق کارسینوم مهاجم از هایپرپلازی‌های خوش خیم استفاده می‌ شود.

 

مزایای خرید آنتی بادی P63  برند NOVOCELL از هیستولب

  • پشتیبانی فنی تخصصی در زمینه پاتولوژی

 

  • ارسال سریع با رعایت کامل زنجیره سرد

 

  • گارانتی اصالت و کیفیت محصول

 

  • آموزش رایگان پروتکل‌های بهینه

 

  • بسته‌بندی استریل و آماده استفاده

تشخیص دقیق تومورهای اپیتلیال را با خرید آنتی بادی P63  برند NOVOCELL از هیستولب تجربه کنید!

 

Novocell P63 antibody provides clear nuclear staining for basal cell identification.
This monoclonal antibody is essential for diagnosing squamous cell carcinomas and myoepithelial lesions.

تعداد نظرات : 0

ثبت نظر

اطلاعات شخصی شما منتشر نمیشود*

چه امتیازی میدهید؟

لطفا برای ثبت نظر وارد سامانه شوید

ثبت نام/ ورود
محصولات مکمل