logo

هیستولب

تماس با ما تهران - شمال غرب میدان هفتم تیر - خیابان غفاری - پلاک 40 021-88313255 info@histolab.ir
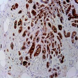
آنتی بادی P53 برند NOVOCELL

کلون‌های اختصاصی طراحی شده برای شناسایی دقیق اپی‌توپ‌های پروتئین P53 انسانی، عملکرد ایده‌آل در رنگ‌آمیزی هسته‌ای واضح و مشخص نمونه‌های پارافینی

(0 نظرات)
برای اطلاع از قیمت با پشتیبانی تماس بگیرید

آنتی بادی P53  برند NOVOCELL یک ابزار تشخیصی پیشرفته برای شناسایی پروتئین سرکوب‌ گر تومور P53 طراحی شده است. این آنتی‌ بادی مونوکلونال با طراحی اختصاصی، قادر به تشخیص دقیق انواع جهش‌ های پروتئین P53 در نمونه‌ های بافتی پارافینی است. P53 به عنوان "نگهبان ژنوم" شناخته می‌ شود که نقش حیاتی در پیشگیری از سرطان از طریق مکانیسم‌ های مختلف از جمله توقف چرخه سلولی، ترمیم DNA و آپوپتوز ایفا می‌ کند. بیان غیرطبیعی یا جهش در این پروتئین در بیش از ۵۰٪ انواع سرطان‌ ها مشاهده می‌ شود. این آنتی‌ بادی با ایجاد رنگ‌ آمیزی هسته‌ ای واضح، امکان ارزیابی دقیق وضعیت P53 را در سلول‌ های سرطانی فراهم می‌ سازد.

 

ویژگی‌های آنتی بادی P53  برند NOVOCELL

  • کلون‌های اختصاصی: طراحی شده برای شناسایی دقیق اپی‌ توپ‌ های پروتئین P53 انسانی

  • عملکرد ایده‌ آل: رنگ‌ آمیزی هسته‌ ای واضح و مشخص در نمونه‌ های پارافینی

  • تست‌ های دوره‌ ای: کنترل کیفیت منظم برای اطمینان از حساسیت و اختصاصیت بالا

  • بسته‌ بندی استریل: قابل استفاده مستقیم بدون نیاز به سمپلر

 

کاربردهای آنتی بادی P53  برند NOVOCELL

  • ارزیابی وضعیت P53 در تومورها: تشخیص جهش‌ های P53 در انواع سرطان‌ ها

  • پیش‌ آگهی سرطان: ارتباط بین بیان P53 و پاسخ به درمان

  • تشخیص افتراقی: تمایز بین انواع مختلف نئوپلاسم‌ها

  • مطالعات تحقیقاتی: بررسی نقش P53 در پاتوژنز سرطان

 

با سفارش آنتی‌بادی P53 از هیستولب، از پشتیبانی فنی تخصصی و آموزش رایگان پروتکل‌های بهینه برخوردار می شوید. مجموعه ما با ارسال سریع و مطمئن آنتی بادی ها در بسته بندی خاص و استریل با رعایت کامل پروتکل زنجیره سرد، کیفیت محصول را تضمین می کند. 

 

Novocell P53 antibody provides precise nuclear staining for tumor suppressor protein detection.
This monoclonal antibody is essential for cancer prognosis and therapeutic response assessment.

تعداد نظرات : 0

ثبت نظر

اطلاعات شخصی شما منتشر نمیشود*

چه امتیازی میدهید؟

لطفا برای ثبت نظر وارد سامانه شوید

ثبت نام/ ورود
محصولات مکمل