logo

هیستولب

تماس با ما تهران - شمال غرب میدان هفتم تیر - خیابان غفاری - پلاک 40 021-88313255 info@histolab.ir
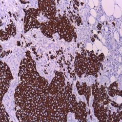
آنتی بادی P16 برند NOVOCELL

طراحی شده برای شناسایی دقیق اپی‌توپ‌های پروتئین P16، رنگ‌آمیزی واضح هسته‌ای و سیتوپلاسمی در نمونه‌های پارافینی

(0 نظرات)
برای اطلاع از قیمت با پشتیبانی تماس بگیرید

آنتی بادی P16  برند NOVOCELL یک ابزار تشخیصی پیشرفته برای شناسایی پروتئین مهارکننده کیناز وابسته به سیکلین (P16) است که با طراحی اختصاصی، قادر به تشخیص دقیق بیان غیرطبیعی پروتئین P16 در نمونه‌های بافتی پارافینی است. P16 به عنوان یک مهارکننده مهم CDK، نقش تنظیمی حیاتی در چرخه سلولی ایفا می‌کند و بیان بیش از حد آن نشان‌ دهنده اختلال در مسیر رتینوبلاستوما و فعالیت اونکوپروتئین‌های ویروسی مانند HPV است. این آنتی‌ بادی با ایجاد رنگ‌ آمیزی هسته‌ ای و سیتوپلاسمی واضح، امکان ارزیابی کمی و کیفی بیان این مارکر ارزشمند را در تشخیص‌ های پاتولوژی فراهم می‌سازد.

فرمولاسیون پایدار و بهینه‌ شده این محصول، به پاتولوژیست امکان استفاده از ان را در شرایط استاندارد آزمایشگاهی و همچنین سیستم‌ های اتوماتیک پیشرفته مانند Ventana و Leica می دهد. این آنتی‌بادی که در بسته بندی خاص و استریل ارسال می شود، بالاترین استانداردهای کنترل کیفیت را دارا است و نتایج قابل تکرار و قابل اطمینانی را در تشخیص‌ های بالینی و تحقیقات سرطان‌ شناسی ارائه می‌دهد.

 

ویژگی‌های آنتی بادی P16  برند NOVOCELL

  • کلون‌های اختصاصی: طراحی شده برای شناسایی دقیق اپی‌ توپ‌ های پروتئین P16

  • عملکرد ایده‌ آل: رنگ‌ آمیزی واضح هسته‌ ای و سیتوپلاسمی در نمونه‌ های پارافینی

  • تست‌ های دوره‌ای: کنترل کیفیت منظم برای اطمینان از حساسیت و اختصاصیت بالا

  • بسته‌ بندی استریل: قابل استفاده مستقیم بدون نیاز به سمپلر

 

کاربردهای تشخیصی

  • تشخیص سرطان‌ های سر و گردن ناشی از HPV

  • ارزیابی ضایعات پرینئال و ملانوم

  • مطالعه گلیوما، لنفوم و لوسمی

  • تشخیص کارسینوم‌ مری، پانکراس و ریه

  • بررسی سرطان‌ های کبد، روده بزرگ و مثانه

 

مزایای خرید آنتی بادی P16  برند NOVOCELL از هیستولب

با سفارش آنتی‌بادی P16 نووسل از هیستولب، از پشتیبانی تخصصی پیشرفته، ارسال سریع با رعایت کامل زنجیره سرد و آموزش رایگان بهره‌ مند شوید.
هیستولب با تضمین کیفیت و ارائه گارانتی اصالت، این محصول را با بسته‌ بندی استریل و آماده استفاده در اختیار شما قرار می‌ دهد.

 

Novocell P16 antibody provides reliable nuclear/cytoplasmic staining for HPV-related cancers.
This monoclonal antibody is essential for detecting tumor suppressor protein overexpression in IHC.

تعداد نظرات : 0

ثبت نظر

اطلاعات شخصی شما منتشر نمیشود*

چه امتیازی میدهید؟

لطفا برای ثبت نظر وارد سامانه شوید

ثبت نام/ ورود
محصولات مکمل