logo

هیستولب

تماس با ما تهران - شمال غرب میدان هفتم تیر - خیابان غفاری - پلاک 40 021-88313255 info@histolab.ir
آنتی بادی PAX8 برند NOVOCELL

کلون اختصاصی برای شناسایی دقیق PAX8، عملکرد ایده‌آل در IHC با رنگ‌آمیزی هسته‌ای، تست‌های دوره‌ای منظم برای تضمین کیفیت

(0 نظرات)
برای اطلاع از قیمت با پشتیبانی تماس بگیرید

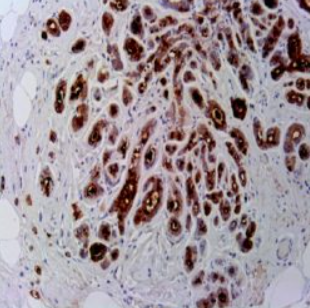
آنتی بادی PAX8  برند NOVOCELL یک آنتی‌بادی مونوکلونال با قابلیت شناسایی پروتئین PAX8 است که به عنوان یک فاکتور رونویسی کلیدی در تمایز و عملکرد اندام‌ های مختلف از جمله تیروئید، کلیه و دستگاه تناسلی نقش دارد. این آنتی‌ بادی برای استفاده در روش ایمونوهیستوشیمی روی بافت‌ های پارافینی بهینه‌ سازی شده و با پروتکل‌ های استاندارد دستگاه‌ های اتوماتیک مانند Ventana و Leica سازگاری کامل دارد. فرمولاسیون پایدار این محصول امکان شناسایی دقیق بیان PAX8 را در نمونه‌ های بافتی فراهم می‌کند.

 

ویژگی‌های آنتی بادی PAX8  برند NOVOCELL 

  • کلون اختصاصی برای شناسایی دقیق PAX8

  • عملکرد ایده‌آل در IHC با رنگ‌آمیزی هسته‌ای

  • تست‌های دوره‌ای منظم برای تضمین کیفیت

  • بسته‌بندی استریل و آماده استفاده

  • تشخیص تومورهای تیروئید (کارسینوم فولیکولار)

  • شناسایی تومورهای کلیه (کارسینوم کلیوی)

  • تشخیص تومورهای تخمدان

  • افتراق متاستازهای مختلف

  • منشأیابی تومورهای ناشناخته

 

کاربردهای تشخیصی 

این آنتی‌ بادی به عنوان یک مارکر تشخیصی ارزشمند در پاتولوژی تومورهای تیروئید، کلیه و تخمدان کاربرد دارد. PAX8 در کارسینوم فولیکولار تیروئید، کارسینوم کلیوی، نفروبلاستوما و برخی تومورهای تخمدان بیان می‌شود و می تواند برای افتراق این نئوپلاسم‌ ها از متاستازهای سایر اعضا مورد استفاده قرار گیرد. این آنتی بادی در ترکیب با پانل‌های تشخیصی شامل TTF-1، mammaglobin و uroplakin، به تعیین منشا اولیه کارسینوم‌ متاستاتیک کمک می‌کند. کنترل مثبت آن نیز در بافت‌های تیروئید و کلیه طبیعی تعریف شده است.

  

مزایای خرید آنتی بادی PAX8  برند NOVOCELL از هیستولب

آنتی بادی PAX8 نووسل را می توانید با اطمینان از عملکرد پایدار و تضمین کیفیت از هیستولب سفارش دهید. مجموعه ما تمامی آنتی بادی ها را در کوتاهترین زمان ممکن با رعایت پروتکل زنجیره سرد برای آزمایشگاه های سراسر کشور ارسال می کند.

 

 

Novocell PAX8 antibody enables precise nuclear staining for thyroid and renal tumors.
This monoclonal antibody is essential for determining tumor origin in metastatic carcinomas.

تعداد نظرات : 0

ثبت نظر

اطلاعات شخصی شما منتشر نمیشود*

چه امتیازی میدهید؟

لطفا برای ثبت نظر وارد سامانه شوید

ثبت نام/ ورود
محصولات مکمل