logo

هیستولب

تماس با ما تهران - شمال غرب میدان هفتم تیر - خیابان غفاری - پلاک 40 021-88313255 info@histolab.ir
آنتی بادی PAX5 برند NOVOCELL

کلون اختصاصی MX017 برای شناسایی دقیق PAX5T، تست‌های دوره‌ای منظم برای تضمین کیفیت، بسته‌بندی استریل و آماده استفاده

(0 نظرات)
برای اطلاع از قیمت با پشتیبانی تماس بگیرید

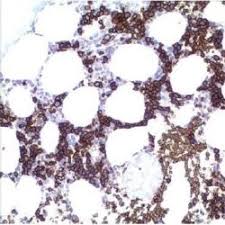
آنتی بادی PAX5 برند NOVOCELL یک آنتی‌ بادی مونوکلونال است که می تواند برای شناسایی پروتئین PAX5 در بافت های نمونه برداری شده مورد استفاده قرار گیرد. این آنتی‌ بادی برای استفاده در روش ایمونوهیستوشیمی روی بافت‌ های پارافینی بهینه‌ سازی شده و الگوی رنگ‌ آمیزی سیتوپلاسمی و هسته‌ای ایجاد می‌ کند. از آنجاییکه PAX5 به عنوان یک فاکتور رونویسی ضروری در تمایز سلول‌ های B شناخته می‌شود می توان از آنتی بادی PAX5 با فرمولاسیون پایدار در تشخیص‌های پاتولوژی این پروتئین استفاده کرد.

 

ویژگی‌های آنتی بادی PAX5  برند NOVOCELL

  • کلون اختصاصی MX017 برای شناسایی دقیق PAX5

  • عملکرد ایده‌آل در ایمونوهیستوشیمی با رنگ‌آمیزی هسته‌ای/سیتوپلاسمی

  • تست‌های دوره‌ای منظم برای تضمین کیفیت

  • بسته‌بندی استریل و آماده استفاده

 

کاربردها

این آنتی‌ بادی به عنوان یک مارکر تشخیصی ارزشمند در پاتولوژی لنفوم‌ ها کاربرد دارد و به طور خاص برای تشخیص و طبقه‌بندی لنفوم‌ های سلول B مورد استفاده قرار می‌ گیرد. رنگ‌ آمیزی PAX5 در تمایز لنفوم‌ های سلول B از لنفوم‌ های سلول T و سایر نئوپلاسم‌ها نقش مهمی ایفا می‌کند. کنترل مثبت این آنتی‌ بادی در لنفوم سلول بزرگ آناپلاستیک تعریف شده است و می توان از آن در مطالعه تمایز لنفوئیدی و بیماری‌های مرتبط با سیستم ایمنی نیز استفاده کرد.

 

شرایط نگهداری

این محصول باید در دمای ۲ تا ۸ درجه سانتی‌گراد نگهداری شود بنابراین، نیازی به فریز شدن ندارد. پایداری آنتی‌بادی تا ۱۸ ماه در شرایط مذکور تضمین شده است.

 

مزایای خرید آنتی بادی PAX5  برند NOVOCELL از هیستولب

هیستولب با ارائه پشتیبانی فنی تخصصی و سیستم توزیع مطمئن، آنتی بادی PAX5  برند NOVOCELL را برای آزمایشگاه های سراسر کشور ارسال میکند تا بتوانند در تشخیص دقیق لنفوم سلول B از آن استفاده کنند.

 

Novocell PAX5 antibody provides reliable nuclear staining for B-cell lymphoma diagnosis.
This monoclonal antibody is essential for differentiating hematopoietic malignancies.

 

تعداد نظرات : 0

ثبت نظر

اطلاعات شخصی شما منتشر نمیشود*

چه امتیازی میدهید؟

لطفا برای ثبت نظر وارد سامانه شوید

ثبت نام/ ورود
محصولات مکمل