logo

هیستولب

تماس با ما تهران - شمال غرب میدان هفتم تیر - خیابان غفاری - پلاک 40 021-88313255 info@histolab.ir
آنتی بادی NapsinA برند NOVOCELL

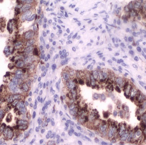
رنگ‌آمیزی سیتوپلاسمی واضح و مشخص، امکان تشخیص دقیق آدنوکارسینوم اولیه ریه، بسته‌بندی خاص و استریل پیشرفته

(0 نظرات)
برای اطلاع از قیمت با پشتیبانی تماس بگیرید

آنتی بادی NapsinA  برند NOVOCELL یک آنتی‌ بادی مونوکلونال است که برای شناسایی آنزیم آسپارتیک پروتئیناز Napsin A در بافت های نمونه برداری شده طراحی شده است. این آنتی‌ بادی با وزن مولکولی ۳۸ کیلو دالتونی، در سلول‌ های آلوئولار تایپ II ریه و آدنوکارسینوم‌های ریوی بیان می‌شود و در بسته بندی خاص با فرمولاسیون پایدار برای آزمایشگاه ها ارسال می شود که استفاده از آن نیازی به سمپلر ندارد. این محصول با ایجاد رنگ‌ آمیزی سیتوپلاسمی واضح، تشخیص دقیق آدنوکارسینوم اولیه ریه و تمایز آن از متاستازهای سایر اعضا را برای پاتولوژیست ساده تر می کند.

 

ویژگی‌های آنتی بادی NapsinA  برند NOVOCELL

• کلون اختصاصی
این آنتی‌بادی با کلون منحصر به فرد برای شناسایی اپی‌ توپ‌ های پروتئین Napsin A طراحی شده تا تشخیص دقیق و حساس این آنزیم آسپارتیک پروتئیناز را در سلول‌های آلوئولار تایپ II و آدنوکارسینوم‌های ریوی امکان پذیر کند.

• تست و بررسی‌ های دوره‌ ای منظم
این آنتی‌ بادی تحت برنامه کنترل کیفیت جامع و تست‌ های دوره‌ ای منظم قرار می‌ گیرد که شامل ارزیابی حساسیت، ویژگی و پایداری محصول می شود. این فرآیند تضمین می‌کند که هر بار استفاده از محصول، نتایج یکسان و قابل اطمینانی ارائه دهد.

• بسته‌ بندی خاص و استریل پیشرفته
این محصول با بسته‌ بندی وکیوم شده و استریل ارائه می‌ شود که می توان از آن به طور مستقیم و بدون نیاز به سمپلرهای اضافی استفاده کرد. این طراحی نه تنها از آلودگی محصول جلوگیری می‌کند، بلکه باعث حفظ فعالیت بیولوژیکی آنتی‌بادی و کاهش خطاهای کاربردی می‌شود.

 

کاربردهای آنتی بادی NapsinA  برند NOVOCELL

این آنتی‌بادی با حساسیت بالا در آدنوکارسینوم‌ ریوی (بیش از ۸۰٪ موارد) و آدنوکارسینوم‌ سلول شفاف کلیوی واکنش نشان می‌دهد، در حالی که کمتر از ۵٪ کارسینوم‌ پاپیلاری تیروئید را رنگ آمیزی می‌کند. کنترل مثبت آن در بافت کلیه و آدنوکارسینوم ریه تعریف شده است. این محصول تا ۱۸ ماه در دمای ۲ تا ۸ درجه سانتی‌گراد پایدار است.

 

هیستولب با ارائه پشتیبانی فنی تخصصی و سیستم توزیع پیشرفته با رعایت پروتکل زنجیره سرد، آنتی‌بادی Napsin A نووسل را با کیفیت تضمینی برای آزمایشگاه های سراسر کشور ارسال می کند تا از تشخیص‌های دقیق پاتولوژی اطمینان کامل داشته باشند.

 

 

Novocell Napsin A antibody enables precise identification of primary lung adenocarcinomas.
This monoclonal antibody is essential for differentiating pulmonary from metastatic tumors in pathological diagnosis.

 

 

تعداد نظرات : 0

ثبت نظر

اطلاعات شخصی شما منتشر نمیشود*

چه امتیازی میدهید؟

لطفا برای ثبت نظر وارد سامانه شوید

ثبت نام/ ورود
محصولات مکمل