logo

هیستولب

تماس با ما تهران - شمال غرب میدان هفتم تیر - خیابان غفاری - پلاک 40 021-88313255 info@histolab.ir
آنتی بادی Myogenin برند NOVOCELL

استفاده از کلون اختصاصی EP162 که به طور ویژه برای شناسایی اپی‌ توپ‌های پروتئین Myogenin طراحی شده، نتایج یکسان و قابل اطمینان، بسته‌بندی خاص و استریل پیشرفته

(0 نظرات)
برای اطلاع از قیمت با پشتیبانی تماس بگیرید

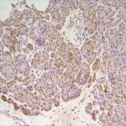
آنتی بادی Myogenin برند NOVOCELL یک آنتی‌ بادی مونوکلونال خرگوشی با کلون EP۱۶۲ و ایزوتایپ IgG است که برای شناسایی پروتئین Myogenin در نمونه‌ های بافتی به کار می‌ رود. این آنتی‌ بادی برای استفاده در روش ایمونوهیستوشیمی روی بافت‌ های پارافینی بهینه‌ سازی شده و الگوی رنگ‌ آمیزی هسته‌ ای ایجاد می‌کند. Myogenin به عنوان یک فاکتور رونویسی کلیدی در تمایز سلول‌ های عضلانی اسکلتی شناخته می‌ شود. فرمولاسیون پایدار این محصول امکان استفاده مطمئن در تشخیص‌ های پاتولوژی را فراهم می‌آورد.

ویژگی‌ها و کاربردهای آنتی بادی Myogenin برند NOVOCELL

این آنتی‌بادی به عنوان یک مارکر تشخیصی ارزشمند در پاتولوژی تومورهای بافت نرم کاربرد دارد و به طور خاص برای تشخیص و طبقه‌بندی رابدومیوسارکوم مورد استفاده قرار می‌گیرد. رنگ‌آمیزی هسته‌ای Myogenin در سلول‌ های تومورال، وجود تمایز عضلانی را تایید می‌ کند.

• کلون اختصاصی EP162
این آنتی‌بادی با استفاده از کلون اختصاصی EP162 که به طور ویژه برای شناسایی اپی‌توپ‌های پروتئین Myogenin طراحی شده است، تولید شده است. این کلون امکان تشخیص دقیق و حساس این فاکتور رونویسی مهم را در هسته سلول‌های عضلانی فراهم می‌آورد و تضمین می‌کند که هیچ واکنش متقاطعی با سایر پروتئین‌های مشابه رخ نمی‌دهد.

• عملکرد ایده‌آل در تشخیص‌های پاتولوژی
آنتی‌بادی Myogenin نووسل با ایجاد رنگ‌آمیزی هسته‌ای واضح و مشخص، امکان تشخیص دقیق رابدومیوسارکوم و تمایز آن از سایر تومورهای بافت نرم را فراهم می‌کند. این عملکرد بهینه در نمونه‌های پارافینی، آن را به ابزاری قابل اعتماد برای پاتولوژیست‌ها تبدیل کرده است.

• برنامه تست و بررسی‌های دوره‌ای منظم
آنتی بادی Myogenin برند NOVOCELLتحت برنامه کنترل کیفیت جامع و تست‌های دوره‌ای منظم قرار می‌گیرد که شامل ارزیابی حساسیت، ویژگی و پایداری محصول می‌باشد. این فرآیند تضمین می‌کند که هر بار استفاده از محصول، نتایج یکسان و قابل اطمینانی ارائه دهد.

• بسته‌بندی خاص و استریل پیشرفته
این محصول با بسته‌بندی وکیوم شده و استریل ارائه می‌شود که امکان استفاده مستقیم و بدون نیاز به سمپلرهای اضافی را فراهم می‌کند. این طراحی نه تنها از آلودگی محصول جلوگیری می‌کند، بلکه باعث حفظ فعالیت بیولوژیکی آنتی‌بادی و کاهش خطاهای کاربردی می‌شود.

شرایط نگهداری و ملاحظات کاربردی

این محصول باید در دمای ۲ تا ۸ درجه سانتی‌گراد نگهداری شود و برای حفظ کیفیت و سلامت باید از فریز کردن آن خودداری کنید. در این شرایط پایداری آنتی‌بادی تا ۱۸ ماه تضمین شده است. 

 

هیستولب با ارسال به موقع و رعایت زنجیره سرد حین حمل و نقل، انواع آنتی‌بادی مورد نیاز پاتالوژی ها و آزمایشگاه های تشخیصی و تحقیقاتی رابه سراسر کشور ارسال میکند.

 

Novocell Myogenin antibody enables precise nuclear detection of skeletal muscle differentiation.
This rabbit monoclonal antibody is essential for diagnosing rhabdomyosarcoma and muscle-related tumors.

 

 

تعداد نظرات : 0

ثبت نظر

اطلاعات شخصی شما منتشر نمیشود*

چه امتیازی میدهید؟

لطفا برای ثبت نظر وارد سامانه شوید

ثبت نام/ ورود
محصولات مکمل