logo

هیستولب

تماس با ما تهران - شمال غرب میدان هفتم تیر - خیابان غفاری - پلاک 40 021-88313255 info@histolab.ir
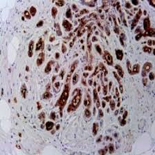
آنتی بادی HMB45 برند NOVOCELL

تشخیص ملانومای بدخیم در نمونه‌های بافتی، کلون اختصاصی HMB45 برای شناسایی دقیق گلیکوپروتئین gp100 در ملانوزوم‌ها، عملکرد بهینه در IHC ، کنترل کیفیت مستمر

(0 نظرات)
برای اطلاع از قیمت با پشتیبانی تماس بگیرید

آنتی بادی HMB45 برند NOVOCELL یک آنتی‌ بادی مونوکلونال موشی با کلون HMB45 و ایزوتایپ IgG1/K است که برای تشخیص ملانومای بدخیم در نمونه‌ های بافتی طراحی شده است. این آنتی‌ بادی با شناسایی گلیکوپروتئین‌های مرتبط با ملانوزوم (gp100)، امکان تشخیص دقیق ملانومای متاستاتیک بی‌رنگ را فراهم می‌ کند که اغلب با کارسینوم‌ تمایزنیافته، لنفوم‌ سلول بزرگ و سارکوم‌ اشتباه گرفته می‌ شوند. فرمولاسیون پایدار این محصول تا ۱۸ ماه در دمای ۲ تا ۸ درجه سانتی‌گراد پایدار می‌ماند.

 

 

ویژگی‌های آنتی بادی HMB45  برند NOVOCELL

  • کلون اختصاصی HMB45 - شناسایی دقیق گلیکوپروتئین gp100 در ملانوزوم‌ها

  • عملکرد بهینه در IHC - رنگ‌آمیزی سیتوپلاسمی واضح برای ملانوسیت‌های طبیعی و بدخیم

  • کنترل کیفیت مستمر - ارزیابی دوره‌ای حساسیت و ویژگی در تشخیص ملانوم

  • بسته‌بندی استریل پیشرفته - طراحی شده برای استفاده مستقیم و جلوگیری از آلودگی

 

خرید آنتی بادی HMB45  برند NOVOCELL از هیستولب با اطمینان

هیستولب با ارائه پشتیبانی تخصصی و سیستم توزیع مبتنی بر استانداردهای جهانی، دسترسی به آنتی‌بادی HMB45 با کیفیت تضمینی را ممکن ساخته است. ارسال آنتی بادی با بسته بندی خاص و آموزش تخصصی کاربران، موفقیت شما در تشخیص‌های دقیق ملانوم را تضمین می کند.

 

Novocell HMB45 antibody enables specific detection of melanosomal glycoproteins in melanoma diagnosis.
This monoclonal antibody is essential for differentiating melanocytic tumors from other malignancies.

 

تعداد نظرات : 0

ثبت نظر

اطلاعات شخصی شما منتشر نمیشود*

چه امتیازی میدهید؟

لطفا برای ثبت نظر وارد سامانه شوید

ثبت نام/ ورود
محصولات مکمل