logo

هیستولب

تماس با ما تهران - شمال غرب میدان هفتم تیر - خیابان غفاری - پلاک 40 021-88313255 info@histolab.ir
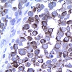
آنتی بادی Cytokeratin 20 برند NOVOCELL

کلون‌های کاملا اختصاصی برای عملکرد ایده‌آل و قابل اطمینان در تشخیص سلول‌ های اپیتلیال سنگفرشی، تست‌ های کنترل کیفی دوره‌ ای منظم، بسته‌ بندی خاص و استریل

(0 نظرات)
برای اطلاع از قیمت با پشتیبانی تماس بگیرید

آنتی بادی Cytokeratin 20  برند NOVOCELL یک آنتی‌ بادی تک‌ کلونال با کاربردهای گسترده در تحقیقات سلولی و تشخیص پزشکی است. این آنتی‌ بادی به طور خاص به پروتئین سیتوکراتین 20 که در سلول‌ های اپیتلیال به ویژه سلول‌ های سنگفرشی بیان می‌ شود، متصل شده و امکان شناسایی دقیق این سلول‌ ها را در نمونه‌ های بافتی و کشت سلولی فراهم می‌ کند.
از کاربردهای مهم این آنتی‌بانی می‌توان به استفاده در تحقیقات سلولی و مولکولی، تشخیص بیماری‌ های مرتبط با سلول‌ های اپیتلیال سنگفرشی مانند سرطان پوست و همچنین کاربردهای درمانی در هدف‌ گیری سلول‌ های سرطانی اشاره کرد. این آنتی‌ بادی به عنوان یک ابزار ارزشمند در پانل‌ های تشخیصی پاتولوژی مورد استفاده قرار می‌ گیرد.
این محصول با دارا بودن ویژگی‌ های منحصر به فرد از جمله حساسیت و ویژگی بالا، نتایج قابل اطمینان و تکرارپذی را امکان پذیر می‌کند. آنتی‌بادی سیتوکراتین 20 نووسل باید در دمای 2 تا 8 درجه سانتی‌گراد و دور از نور مستقیم نگهداری شده و با رعایت اصول ایمنی استاندارد مورد استفاده قرار گیرد.

 

ویژگی‌های آنتی بادی Cytokeratin 20  برند NOVOCELL

آنتی‌بادی سیتوکراتین 20 نووسل با کلون‌های کاملا اختصاصی تولید شده که عملکرد ایده‌آل و قابل اطمینانی را در تشخیص سلول‌های اپیتلیال سنگفرشی ارائه می‌ دهد. این محصول تحت تست‌ های کنترل کیفی دوره‌ ای منظم قرار گرفته و با بسته‌ بندی خاص و استریل عرضه می‌ شود. فرمولاسیون آماده مصرف (Ready-to-Use) این آنتی‌ بادی، کاربرد آن را بسیار ساده کرده و نیازی به استفاده از سمپلر ندارد.

 

هیستولب با ارائه پشتیبانی فنی تخصصی، ارسال به موقع محصولات، رعایت کامل زنجیره سرد، گارانتی اصلی محصول و آموزش کاربران در صورت نیاز، انواع آنتی بادی های نووسل را با بالاترین کیفیت و قیمت مناسب برای آزمایشگاه های تشخیصی و تحقیقاتی سراسر کشور ارسال می کند.


Cytokeratin 20 antibody demonstrates exceptional specificity in identifying squamous epithelial cells with ideal performance. This ready-to-use reagent undergoes rigorous quality control testing to ensure consistent results. Its sterile packaging and no-pipetting requirement make it highly user-friendly for both research and diagnostic applications.

 

 

تعداد نظرات : 0

ثبت نظر

اطلاعات شخصی شما منتشر نمیشود*

چه امتیازی میدهید؟

لطفا برای ثبت نظر وارد سامانه شوید

ثبت نام/ ورود
محصولات مکمل