logo

هیستولب

تماس با ما تهران - شمال غرب میدان هفتم تیر - خیابان غفاری - پلاک 40 021-88313255 info@histolab.ir
آنتی بادی Cytokeratin 7 برند NOVOCELL

آنتی‌بادی با کلون‌های کاملا اختصاصی برای تشخیص دقیق CK7، عملکرد ایده‌آل و قابل اطمینان در شرایط استاندارد IHC

(0 نظرات)
برای اطلاع از قیمت با پشتیبانی تماس بگیرید

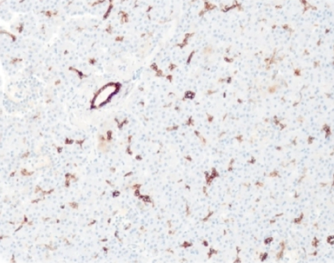
آنتی بادی Cytokeratin 7  برند NOVOCELL، برای شناسایی کیفی آنتی‌ ژن CK7 در مقاطع بافتی کاربرد دارد. این آنتی‌ بادی که در پروتکل‌ های ایمونوهیستوشیمی (IHC) به کار می‌رود، برای کمک به پاتولوژیست‌ ها در تشخیص تومورها طراحی شده و امکان استفاده از آن به صورت دستی و در سیستم‌ های اتوماتیک وجود دارد. تفسیر نتایج حاصل از این آزمون باید توسط پاتولوژیست‌های متخصص و در کنار سایر علائم بالینی و آزمایشگاهی بیمار انجام پذیرد.
سیتوکراتین 7 یک پروتئین فیلامنت حدواسط سیتوپلاسمی است که در اپیتلیوم‌ های مجرایی و غده‌ ای از جمله در دستگاه ادراری، ریه، پستان و دستگاه تناسلی زنان بیان می‌ شود. نکته کلیدی در ارزش تشخیصی این مارکر، الگوی بیان محدود آن است؛ به طوری که در اپیتلیوم گوارشی، پروستات، هپاتوسیت‌ ها و کارسینوم‌ کولون، پروستات و سنگفرشی فاقد بیان می‌ باشد. این ویژگی، آنتی‌ بادی CK7 را به یک نشانگر ارزشمند در پنل‌ های تشخیصی، به ویژه در کنار آنتی‌ بادی سیتوکراتین 20 تبدیل کرده است.
اساس کار این آنتی‌ بادی، ایجاد واکنش آنتی‌ ژن-آنتی‌ بادی خاص است که با استفاده از یک سیستم تشخیصی مبتنی بر آنزیم (مانند HRP یا AP) و یک کروموژن، محصول رنگی قابل مشاهده زیر میکروسکوپ نوری ایجاد می‌ کند. این محصول با بسته بندی خاص آماده مصرف (Ready-to-use) ارائه می‌شود که نیاز به هیچ گونه رقیق‌سازی یا تیتراسیون ندارد و عملکرد یکنواختی را در بین بچ های مختلف تضمین می کند.

 

ویژگی ها

  •  آنتی‌ بادی با کلون‌های کاملا اختصاصی برای تشخیص دقیق CK7
  • عملکرد ایده‌آل و قابل اطمینان در شرایط استاندارد IHC
  • تحت تست‌های کنترل کیفی دوره‌ای منظم
  • بسته‌بندی خاص و استریل برای حفظ سلامت محصول
  • فرمولاسیون آماده مصرف (Ready-to-use) بدون نیاز به سمپلر
  • کاربرد تشخیصی در تست‌های ایمونوهیستوشیمی بر روی نمونه‌های بافتی FFPE
  • شناسایی کیفی پروتئین سیتوکراتین 7 (CK7) در نمونه‌های بافتی
  • قابلیت استفاده در روش‌های دستی و پلتفرم‌های اتوماتیک
  • سازگار با سیستم‌های مبتنی بر HRP و AP

 

هیستولب با پشتیبانی فنی تخصصی، ارسال به موقع، رعایت کامل زنجیره سرد، گارانتی معتبر محصول و ارائه آموزش‌های کاربردی، تجربه‌ای بی‌نظیر در تشخیص پاتولوژیک توسط انواع آنتی بادی های نووسل برای شما فراهم می کند. 

 

  • Novocell Cytokeratin 7 antibody demonstrates exceptional specificity with ready-to-use convenience. Its optimized formulation ensures consistent, reliable results in both manual and automated IHC systems. This antibody is an essential tool for pathologists and researchers focusing on differential diagnosis of carcinomas. It helps accurately identify CK7-expressing tumors in various tissue types.

 

 

تعداد نظرات : 0

ثبت نظر

اطلاعات شخصی شما منتشر نمیشود*

چه امتیازی میدهید؟

لطفا برای ثبت نظر وارد سامانه شوید

ثبت نام/ ورود
محصولات مکمل