logo

هیستولب

تماس با ما تهران - شمال غرب میدان هفتم تیر - خیابان غفاری - پلاک 40 021-88313255 info@histolab.ir
آنتی بادی Cytokeratin 5/6 برند NOVOCELL

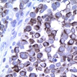
رنگ‌آمیزی متمایز کارسینوم سلول سنگفرشی ریه، کمک به افتراق مزوتلیوما از آدنوکارسینوم ریه، طراحی شده برای شناسایی همزمان Cytokeratin 5 , 6

(0 نظرات)
برای اطلاع از قیمت با پشتیبانی تماس بگیرید

آنتی بادی Cytokeratin 5/6  برند NOVOCELL یک آنتی‌ بادی مونوکلونال موشی با کلون 1044SBC و ایزوتایپ IgG1 است که برای شناسایی همزمان سیتوکراتین‌ های 5 و 6 در نمونه‌ های بافتی به کار می‌ رود. این آنتی‌ بادی در تشخیص و تمایز کارسینوم سلول سنگفرشی از آدنوکارسینوم نقش کلیدی ایفا می‌ کند. محصول در بسته بندی خاص و استریل به شما تحویل داده می شود که نیازی به استفاده از سمپلر ندارد و در دمای ۲ تا ۸ درجه سانتی‌گراد - بدون نیاز به فریز کردن - تا ۱۸ ماه پایدار می‌ ماند.

 

ویژگی‌ ها

  • شناسایی تومورهای سلول سنگفرشی: رنگ‌آمیزی متمایز کارسینوم سلول سنگفرشی ریه

  • تشخیص مزوتلیوما: کمک به افتراق مزوتلیوما از آدنوکارسینوم ریه

  • مطالعات پستان و پروستات: شناسایی بدخیمی‌ های سلول‌ های میواپیتلیال

  • الگوی رنگ‌آمیزی سیتوپلاسمی: ایجاد رنگ‌آمیزی واضح و مشخص در سیتوپلاسم سلول‌ های مثبت

  •  سازگاری با سیستم‌ های اتوماتیک: قابل استفاده در دستگاه‌های Ventana و Leica

  • کلون اختصاصی 1044SBC - طراحی شده برای شناسایی همزمان Cytokeratin 5 , 6

  • عملکرد ایده‌آل در IHC - تضمین رنگ‌ آمیزی سیتوپلاسمی واضح و اختصاصی

  • کنترل کیفیت مستمر - تست‌ های دوره‌ای منظم برای اطمینان از حساسیت و اختصاصیت بالا

  • بسته‌ بندی استریل پیشرفته - آماده استفاده بدون نیاز به سمپلر 

 

کاربردهای تخصصی آنتی بادی Cytokeratin 5/6  برند NOVOCELL در پانل‌ های تشخیصی

این آنتی‌ بادی در پانل‌ های تشخیصی همراه با TTF-1، p63 و سایر مارکرها برای افتراق کارسینوم سلول سنگفرشی ریه از آدنوکارسینوم ریه و کارسینوم سلول بزرگ به کار می‌ رود. همچنین در پاتولوژی پستان برای تمایز کارسینوم‌ های پایه ای از انواع دیگر و در پاتولوژی پوست برای مطالعه هایپرپلازی‌ های اپی‌تلیال کاربرد دارد. کنترل مثبت این آنتی‌بادی در نمونه‌ های کارسینوم سلول سنگفرشی ریه و مزوتلیوما تعریف شده است.

 

هیستولب با ارائه پشتیبانی تخصصی پاتولوژی و سیستم توزیع با رعایت پروتکل زنجیره سرد، دسترسی به آنتی‌ بادی‌ های باکیفیت را ممکن ساخته است. اگر به دنبال خرید آنتی بادی های باکیفیت برای تضمین نتایج تحقیقات و تشخیص های آزمایشگاهی هستید، آنتی بادی Cytokeratin 5/6  برند NOVOCELL را از هیستولب سفارش دهید. 

 

Novocell Cytokeratin 5/6 antibody enables precise squamous cell carcinoma identification with distinct cytoplasmic staining.
This monoclonal antibody is essential for differentiating lung carcinomas and mesothelioma diagnosis.

 

تعداد نظرات : 0

ثبت نظر

اطلاعات شخصی شما منتشر نمیشود*

چه امتیازی میدهید؟

لطفا برای ثبت نظر وارد سامانه شوید

ثبت نام/ ورود
محصولات مکمل