logo

هیستولب

تماس با ما تهران - شمال غرب میدان هفتم تیر - خیابان غفاری - پلاک 40 021-88313255 info@histolab.ir
آنتی بادی CD138 برند NOVOCELL

شناسایی دقیق سلول‌های بیان‌کننده CD138 در نمونه‌های مختلف، تضمین نتایج دقیق و قابل تکرار در هر بار استفاده، بسته‌بندی استریل - طراحی ویژه برای استفاده مستقیم و جلوگیری از آلودگی

(0 نظرات)
برای اطلاع از قیمت با پشتیبانی تماس بگیرید

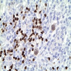
آنتی بادی CD138 برند NOVOCELL یک آنتی‌بادی مونوکلونال با کلون B-A38 و ایزوتایپ IgG1 است که به فلوروکروم APC-Cyane 7.5 متصل شده و برای استفاده در فلوسایتومتری طراحی شده است. این آنتی‌ بادی با وضعیت CE-IVD، به صورت اختصاصی به آنتی‌ ژن CD138 (Syndecan-1) انسانی متصل شده و برای تحریک با لیزر قرمز بهینه‌ سازی شده است. فرمولاسیون پایدار این محصول در دمای ۲ تا ۸ درجه سانتی‌ گراد حفظ می‌ شود و باید از فریز کردن و قرار دادن آن در معرض نور مستقیم خورشید خودداری کرد. آنتی بادی CD138 نووسل با ایجاد سیگنال فلورسنت قوی، شناسایی دقیق سلول‌ های بیان‌ کننده CD138 را در نمونه‌ های مختلف امکان پذیر می‌ کند.

 

کاربردهای تشخیصی و تحقیقاتی

این آنتی‌بادی به عنوان یک مارکر کلیدی در تشخیص و پایش میلوم متعدد (Multiple Myeloma) و سایر دیسکرازی های پلاسما سل کاربرد دارد. در هماتوپاتولوژی، از CD138 برای شناسایی و شمارش سلول‌ های پلاسما در نمونه‌ های مغز استخوان و خون محیطی استفاده می‌ شود. همچنین، این آنتی بادی در پایش پاسخ به درمان و ارزیابی بیماری مینیمال رزیجوال (MRD) در بیماران مبتلا به میلوم متعدد، نقش حیاتی ایفا می‌کند. در پاتولوژی تومورهای جامد، CD138 در مطالعه کارسینوم‌های مختلف از جمله کارسینوم پستان و تخمدان نیز مورد استفاده قرار می‌ گیرد. در تحقیقات ایمونولوژی، از این آنتی‌بادی برای مطالعه تمایز سلول‌ های B و در چسبندگی سلولی و سیگنالینگ استفاده می‌شود.

 

ویژگی آنتی بادی های هیستولب

  •  کلون‌های اختصاصی - استفاده از کلون‌ های پتنت‌ شده و انحصاری برای هر آنتی‌ ژن
  •  عملکرد ایده‌ آل - تضمین نتایج دقیق و قابل تکرار در هر بار استفاده
  •  تست‌ های دوره‌ای - کنترل کیفیت منظم مطابق با استانداردهای بین‌ المللی
  •  بسته‌ بندی استریل - طراحی ویژه برای استفاده مستقیم و جلوگیری از آلودگی

 

مزایای خرید آنتی بادی CD138 برند NOVOCELL از هیستولب

هیستولب با ارائه پشتیبانی فنی تخصصی و ارسال به موقع آنتی بادی ها به سراسر کشور، یکی از معتبرترین سایت های تامین کننده تجهیزات آزمایشگاهی است. این مجموعه با رعایت کامل زنجیره سرد و ارائه گارانتی محصول، کیفیت و عملکرد آنتی‌بادی‌ ها را تضمین نموده و با آموزش کاربران در صورت نیاز، بهره‌ وری آزمایشگاه‌ها را بهبود می بخشد.

 
برای خرید آنتی‌ بادی CD138 نووسل و دریافت مشاوره رایگان، با کارشناسان ما تماس بگیرید.

 

Novocell CD138 antibody enables precise plasma cell detection in multiple myeloma diagnosis.
This APC-Cy7 conjugated antibody is essential for MRD monitoring and plasma cell disorders.

 

تعداد نظرات : 0

ثبت نظر

اطلاعات شخصی شما منتشر نمیشود*

چه امتیازی میدهید؟

لطفا برای ثبت نظر وارد سامانه شوید

ثبت نام/ ورود
محصولات مکمل